Lectura 3:00 min
Científicos presentan el primer borrador del atlas del cerebro en desarrollo
Identificaron los genes clave que controlan los procesos cerebrales y descubrieron algunos aspectos comunes del desarrollo celular.

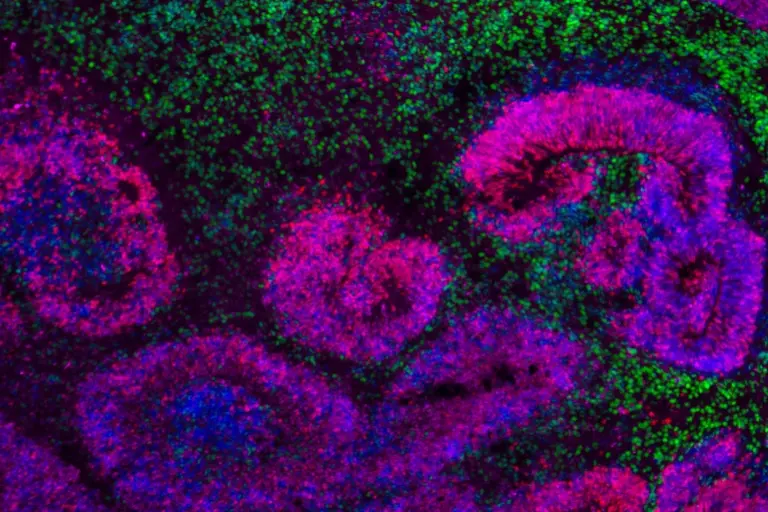
ejido cerebral humano en desarrollo con estructuras en roseta (rosa y azul) rodeadas de neuronas (verde).
La ciencia alcanzó un hito en una ambiciosa iniciativa para trazar cómo surgen y maduran los distintos tipos de células cerebrales desde las etapas embrionarias y fetales hasta la edad adulta, lo que podría apuntar a nuevas formas de abordar ciertas afecciones como el autismo y la esquizofrenia.
Los investigadores afirman haber completado un primer borrador de los atlas del cerebro humano en desarrollo y del cerebro de los mamíferos en desarrollo.
Te puede interesar
La investigación se centró en células cerebrales humanas y de ratón y también se realizaron algunos trabajos con monos. En su borrador inicial, los científicos trazaron el desarrollo de los distintos tipos de células, siguiendo su nacimiento, diferenciación y maduración en diversos tipos con funciones únicas. También analizaron cómo se activan o desactivan sus genes a lo largo del tiempo.
Los científicos identificaron los genes clave que controlan los procesos cerebrales y descubrieron algunos aspectos comunes del desarrollo celular entre los cerebros humano y animal, así como algunos aspectos únicos del cerebro humano, incluida la identificación de tipos celulares desconocidos hasta entonces.
Los hallazgos se detallan en una colección de estudios publicados en Nature y revistas afines. La investigación forma parte de la Red del Atlas Celular de la Iniciativa BRAIN (BICAN) de los Institutos Nacionales de Salud de Estados Unidos, una colaboración científica internacional para crear un atlas completo del cerebro humano.
"Nuestro cerebro tiene miles de tipos de células con una extraordinaria diversidad en sus propiedades y funciones celulares y (...) trabajan juntos para generar una variedad de comportamientos, emociones y cognición", dijo el neurocientífico Hongkui Zeng, del Instituto Allen en Seattle y líder de dos de los estudios.
Te puede interesar
Los investigadores hallaron más de 5.000 tipos de células en el cerebro del ratón. Se cree que en el cerebro humano hay al menos el mismo número.
"El cerebro en desarrollo es una estructura increíblemente enigmática porque es de difícil acceso, está formado por muchos tipos celulares distintos y cambia con rapidez. Conocíamos los cambios generales que se producen durante el desarrollo cerebral, pero ahora, gracias a este conjunto de atlas, sabemos con mucho más detalle cuáles son las piezas del cerebro en desarrollo", indicó Aparna Bhaduri, neurocientífica de la UCLA y otra de las responsables de la investigación.
La investigación promete importantes aplicaciones prácticas.
"En primer lugar, al estudiar y comparar el desarrollo del cerebro en humanos y animales, comprenderemos mejor la especialización humana y de dónde procede nuestra inteligencia única. En segundo lugar, al comprender el desarrollo normal del cerebro en humanos y animales, podremos estudiar mejor qué cambios se producen en los cerebros enfermos -cuándo y dónde- tanto en los tejidos humanos enfermos como en los modelos animales de enfermedad", señaló Zeng.
Con estos conocimientos, los científicos esperan conseguir terapias génicas y celulares más precisas para diversas enfermedades humanas, según Zeng. Se espera que los hallazgos permitan comprender mejor el autismo, el trastorno por déficit de atención con hiperactividad, la esquizofrenia y otras afecciones que se sabe que aparecen durante el desarrollo del cerebro.



